Categories Kobieta

Jak radzić sobie z żylakami sromu po porodzie? Praktyczne porady dla mam

Problem żylaków sromu dotyka wiele kobiet, zwłaszcza tych, które przeszły poród. Przyczyny ich powstawania są złożone, a głównie wynikają z biologicznych zmian, jakie zachodzą w organizmie w czasie ciąży. Zwiększony przepływ krwi do miednicy, rosnąca macica uciskająca naczynia krwionośne oraz zmiany hormonalne stanowią kluczowe czynniki ryzyka, sprzyjające powstawaniu żylaków sromu. Należy zwrócić uwagę, że problem ten nie dotyczy jedynie kobiet w ciąży — występuje także u tych, które nigdy nie były w ciąży. Nasilenie objawów często wiąże się z czynnikami genetycznymi oraz stylem życia.

Objawy żylaków sromu mogą przybierać różnorodne formy, które są nieprzyjemne dla kobiet. Odczuwając swoje doświadczenia, mogę stwierdzić, że często miałam wrażenie ucisku oraz dyskomfortu w okolicy sromu. Nie rzadko pojawiały się również swędzenie, obrzęk i lekkie bóle, które potęgowały się zwłaszcza podczas stosunku. Jak wykazały badania, te objawy dotyczą około 20% kobiet w ciąży. Cieszę się, że po kilku tygodniach od narodzin dziecka sytuacja zaczęła się poprawiać.

Żylaki sromu to powszechny problem wśród kobiet po porodzie

Warto podkreślić, że żylaki sromu często mylone są z innymi dolegliwościami, takimi jak hemoroidy. Często występują one jednocześnie, co potęguje odczuwany dyskomfort. Symptomy mogą być mylące, dlatego wizyty u lekarza oraz zadawanie pytań dotyczących własnego stanu zdrowia powinny być wzięte pod uwagę. Wiele kobiet czuje się zawstydzonych, gdy mówi o problemach związanych z okolicami intymnymi, jednak każda sytuacja zasługuje na odpowiednią uwagę oraz diagnozę.

Z perspektywy czasu dostrzegam, jak kluczowa okazała się pomoc specjalisty oraz zastosowanie zaleceń zmierzających do łagodzenia objawów. Regularna aktywność fizyczna, unikanie długiego stania oraz siedzenia, a także noszenie odzieży wspierającej mogą znacząco poprawić samopoczucie. Ostatecznie niektóre przypadki wymagają dalszej diagnostyki i ewentualnego leczenia, jednak wiele kobiet zauważa poprawę przy odpowiedniej pielęgnacji oraz trosce o swoje zdrowie po porodzie.

Jak skutecznie radzić sobie z żylakami sromu po porodzie?

Żylaki sromu stanowią problem, z którym boryka się wiele kobiet, szczególnie w czasie ciąży oraz po porodzie. Choć w wielu przypadkach ustępują one samoistnie, to jednak mogą również powodować dyskomfort oraz ból. W tym artykule przedstawiamy praktyczne porady, które pomogą mamom skutecznie radzić sobie z tym problemem oraz złagodzić objawy.

  • Odpoczywaj w odpowiednich pozycjach: Staraj się podczas odpoczynku leżeć na lewym boku, z uniesionymi nogami lub użyj poduszki umieszczonej pod biodrami. Dzięki takiej pozycji zmniejszysz ucisk na żyły oraz poprawisz krążenie krwi w miednicy, co przyniesie ulgę w bólu oraz dyskomforcie.
  • Pij dużo wody: Utrzymywanie odpowiedniego poziomu nawodnienia ma kluczowe znaczenie dla poprawy krążenia. Staraj się zatem pić co najmniej 10-12 szklanek wody dziennie, a to pomoże uniknąć zaparć, które mogą dodatkowo obciążać żyły.
  • Unikaj długiego stania i siedzenia: Długotrwałe przebywanie w jednej pozycji sprzyja gromadzeniu się krwi w żyłach. Dlatego regularnie wprowadzaj przerwy na ruch, aby poprawić krążenie krwi. Gdy siedzisz, korzystaj z ergonomicznych krzeseł, które zapewniają wsparcie dla twojego ciała.
  • Nosić bieliznę wspierającą: Wybieraj specjalne nosidełka lub rajstopy uciskowe, które mogą pomóc w redukcji napięcia w okolicach miednicy oraz sromu. Tego typu odzież wspierająca poprawia krążenie krwi, co może przynieść ulgę w objawach żylaków.
  • Stosuj zimne kompresy: Jeżeli odczuwasz dyskomfort w okolicy sromu, przykładaj do tej strefy zimne kompresy. Zimno działa przeciwzapalnie i łagodzi obrzęki, co może skutkować ulgą w bólu oraz swędzeniu.
Zobacz także:  Ropień piersi a karmienie: jak rozpoznać i skutecznie zarządzać problemem?

Skuteczne metody leczenia żylaków sromu

W poniższej liście znajdziesz skuteczne metody leczenia żylaków sromu, które pomogą w łagodzeniu zarówno objawów, jak i przyczyn tego schorzenia. Warto zaznaczyć, że kroki te są istotne nie tylko dla kobiet w ciąży, ale także dla tych, które zmagają się z tym problemem po porodzie. Każdy z wymienionych elementów wymaga indywidualnego podejścia, dlatego dobrze jest zapoznać się z ich szczegółowymi opisami.

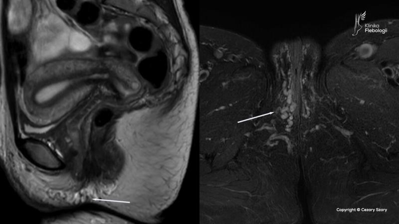
  1. Diagnostyka: Zanim przystąpisz do jakiejkolwiek interwencji, konieczne będzie wykonanie diagnostyki. Proces ten obejmuje badanie fizykalne, które pomoże ocenić stan naczyń żylnych. Lekarz często zaleca USG Doppler, aby sprawdzić przepływ krwi w żyłach sromu. Ponadto, w celu zlokalizowania potencjalnych problemów z krążeniem, mogą być potrzebne dodatkowe badania, takie jak angio-CT czy flebografia. Odpowiednia diagnostyka pozwoli lekarzowi dobrać najbardziej skuteczną metodę leczenia.
  2. Zmiana stylu życia: Warto wprowadzić zmiany w codziennej rutynie, aby poprawić stan zdrowia. Unikaj długotrwałego stania oraz siedzenia, gdyż to może potęgować objawy. Regularne krótkie przerwy na aktywność fizyczną przyczynią się do poprawy krążenia krwi. Dbaj o odpowiednią wartość BMI i prowadź aktywny tryb życia, wykonując umiarkowany wysiłek, np. spacery czy ćwiczenia, co dodatkowo wesprze zdrowie układu żylnego.
  3. Leczenie farmakologiczne: Aby złagodzić ból oraz dyskomfort, warto rozważyć stosowanie leków wzmacniających naczynia żylne. Leki zawierające diosminę, wyciąg z kasztanowca czy rutozyd mogą przynieść ulgę i poprawić samopoczucie. W niektórych sytuacjach lekarz może również zalecić środki przeciwzakrzepowe, szczególnie u kobiet w ciąży.
  4. Sklerotyzacja: Ta metoda leczenia żylaków sromu cieszy się dużą popularnością. Zabieg polega na wstrzykiwaniu do żył specjalnych substancji obliterujących, co prowadzi do bliznowacenia i ostatecznego zanikania żył. Procedura ta charakteryzuje się niską inwazyjnością i przynosi szybkie efekty, jednak przed jej rozpoczęciem wymaga dokładnej diagnostyki.
  5. Noszenie odzieży uciskowej: Warto korzystać z odpowiedniej bielizny ciążowej lub pończoch uciskowych, które wspierają krążenie krwi w okolicy miednicy. Na co dzień preferuj wygodne ubrania, które nie uciskają okolic intymnych, co przyczyni się do złagodzenia objawów oraz poprawy komfortu życia.
  6. Monitorowanie i dalsza kontrola: Po wdrożeniu leczenia niezwykle istotne jest, aby regularnie uzupełniać wizyty u lekarza i oceniać wyniki terapii. Dokładnie obserwuj wszelkie zmiany w objawach i natychmiast zgłaszaj niepokojące sygnały, takie jak ból, obrzęk czy zmiany skórne, aby lekarz mógł odpowiednio zareagować.
Zobacz także:  Laminacja brwi a karmienie piersią – co warto wiedzieć na forum?

Domowe sposoby na ulgę w objawach żylaków sromu

Metody leczenia żylaków

Żylaki sromu stanowią problem, z którym wiele kobiet woli się nie konfrontować. Skoro jesteśmy przy tym temacie, sprawdź, jak oksytocyna wpływa na ból podczas porodu. Często odkładają wizytę u lekarza z powodu wstydu lub obaw przed oceną ze strony innych. Niemniej jednak, warto wiedzieć, że istnieje wiele domowych metod, które mogą skutecznie złagodzić objawy tego schorzenia. Osobiście doświadczyłam, jak ważne jest dbanie o swoje zdrowie oraz samopoczucie. Kluczowe staje się przede wszystkim odpowiednie nawodnienie organizmu oraz unikanie długotrwałego stania i siedzenia, ponieważ to prowadzi do zastoju krwi. Regularne picie wody, przynajmniej kilku szklanek dziennie, znacząco wspiera prawidłowe krążenie krwi.

Żylaki sromu po porodzie

Jednym z moich ulubionych sposobów na zredukowanie objawów żylaków sromu jest leżenie na lewym boku z uniesionymi biodrami. Taka pozycja znacznie łagodzi ucisk na żyły, co przynosi ulgę. Czasami wystarczy po prostu zrelaksować się w wygodnej pozycji, kładąc poduszkę pod biodra, aby poprawić krążenie. Ponadto, stosowanie zimnych kompresów na obszarze sromu przynosi ukojenie, wycisza swędzenie oraz minimalizuje uczucie dyskomfortu.

Właściwe nawyki przyczyniają się do ulgi w objawach żylaków sromu

Warto również zwrócić uwagę na noszenie odpowiedniej odzieży, takiej jak bielizna, która nie uciska, a także specjalistyczne rajstopy uciskowe. Miałam okazję przetestować kilka modeli i zauważyłam, że dobrze dobrana bielizna znacząco poprawia komfort życia na co dzień. Dodatkowo, wprowadzenie regularnej aktywności fizycznej, na przykład spacerów czy ćwiczeń, wpływa korzystnie na wzmocnienie mięśni oraz poprawę krążenia. Aktywność nie musi być intensywna – istotne, aby była systematyczna, co przyczyni się do ogólnej poprawy zdrowia.

Objawy żylaków sromu

Na zakończenie należy podkreślić, jak ważna jest dieta wzbogacona w błonnik oraz produkty wspierające krążenie, takie jak owoce cytrusowe czy warzywa. Z własnego doświadczenia wiem, że unikanie soli ma pozytywny wpływ na organizm – nadmiar soli sprzyja zatrzymywaniu wody, co z kolei może nasilać objawy żylaków. Drobne zmiany w codziennym życiu mogą znacząco poprawić nasze samopoczucie oraz jakość życia. Należy jednak pamiętać, żeby wszelkie dolegliwości skonsultować z lekarzem, chociaż domowe metody mogą stanowić skuteczne wsparcie w dążeniu do zdrowia.

Ciekawostką na temat żylaków sromu jest fakt, że regularne wykonywanie ćwiczeń, które wzmacniają mięśnie dna miednicy, takich jak ćwiczenia Kegla, może nie tylko wspierać poprawę krążenia, ale także pomóc w zapobieganiu dalszym problemom zdrowotnym związanym z ciążą i porodem.

Profilaktyka żylaków sromu w okresie ciąży i po porodzie

W ciąży nasz organizm przechodzi wiele zmian, a żylaki sromu stanowią jedną z mniej komfortowych dolegliwości, które mogą się pojawić. Te poszerzone naczynia żylne w tej okolicy często prowadzą do dyskomfortu, a czasem nawet do bólu w życiu codziennym. Dlatego warto zainwestować swój czas w profilaktykę, aby zminimalizować ryzyko ich wystąpienia. Kluczowe jest, aby znać czynniki ryzyka, takie jak zwiększona objętość krwi w organizmie, ucisk rosnącej macicy oraz zmiany hormonalne, które wpływają na elastyczność naczyń krwionośnych.

Zobacz także:  Idealna koszula nocna po porodzie – komfort i styl dla świeżo upieczonych mam

Regularna aktywność fizyczna wspiera układ krążenia

Jednym z najskuteczniejszych sposobów zapobiegania żylakom w ciąży jest wprowadzenie regularnej aktywności fizycznej. Nawet proste spacery, które można wpleść w codzienną rutynę, znacząco poprawiają krążenie krwi w miednicy i nogach. Ważne jest, aby dążyć do zbilansowanej diety oraz unikać długotrwałego siedzenia i stania, ponieważ te czynniki mogą sprzyjać zastojom krwi. Warto również pamiętać o nawadnianiu organizmu; picie dużej ilości wody nie tylko wspiera krążenie, ale także wpływa korzystnie na zdrowie całego ciała.

Odpoczynek i pozycje odciążające są na wagę złota

Domowe sposoby na ulgę

Podczas relaksu warto skupić się na odpowiednich pozycjach ciała, które zredukują ucisk na żyły. Najlepiej leżeć na lewym boku, co skutecznie przyczynia się do poprawy krążenia. Można także zastosować pozycje odciążające, takie jak uniesione biodra, co ułatwia odpływ krwi z okolic sromu. Ponadto noszenie bielizny ciążowej, która wspiera krążenie, ma ogromne znaczenie. Te niewielkie kroki mogą przynieść ulgę oraz pomóc w uniknięciu problemów z żyłami sromu nie tylko w czasie ciąży, ale i po porodzie. Jak już jesteśmy w temacie, dowiedz się, jak wygląda zmiana brzucha w ciąży.

Jeżeli mimo starań żylaki sromu jednak się pojawią, warto jak najszybciej skonsultować się z lekarzem, który dobierze odpowiednie metody leczenia. W wielu przypadkach wystarczy kilka prostych zabiegów, aby złagodzić objawy, a z czasem nawet całkowicie je wyeliminować. Ważne jest, aby nie bagatelizować problemu, zwłaszcza że zdrowie intymne odgrywa kluczową rolę w naszym samopoczuciu.

Porada Opis
Regularna aktywność fizyczna Wprowadzenie regularnej aktywności, np. spacery, poprawia krążenie krwi w miednicy i nogach. Unikaj długotrwałego siedzenia i stania.
Nawadnianie organizmu Pij dużą ilość wody, co wspiera krążenie i zdrowie całego ciała.
Odpoczynek w odpowiednich pozycjach Leżenie na lewym boku oraz uniesione biodra redukują ucisk na żyły i ułatwiają odpływ krwi z okolic sromu.
Noszenie bielizny ciążowej Bielizna wspierająca krążenie może przynieść ulgę i pomóc uniknąć problemów z żyłami sromu.
Konsultacja z lekarzem W przypadku pojawienia się żylaków warto skonsultować się z lekarzem w celu dobrania odpowiednich metod leczenia.

Ciekawostką jest to, że regularne ćwiczenia w ciąży nie tylko zmniejszają ryzyko wystąpienia żylaków, ale także mogą przyspieszyć proces porodu oraz poprawić samopoczucie matki, co wpływa na lepszy odbiór doświadczeń w trakcie macierzyństwa.

Źródła:

  1. https://diag.pl/pacjent/artykuly/zylaki-sromu-dlaczego-sie-pojawiaja-objawy-i-leczenie/
  2. https://www.alab.pl/centrum-wiedzy/zylaki-sromu-i-pochwy-dlaczego-powstaja-i-jak-je-leczyc/
  3. https://www.mp.pl/pacjent/ciaza/lista/80919,zylaki-sromu-i-pochwy
  4. https://kobiecafizjoterapia.pl/w-ciazy/hemoroidy-i-zylaki-sromu-w-ciazy-jak-sobie-z-nimi-radzic-czy-mozna-im-zapobiec/
  5. https://www.poradnikzdrowie.pl/zdrowie/choroby-kobiece/zylaki-sromu-przyczyny-objawy-leczenie-aa-wAWK-2ejb-wxLd.html
  6. https://klinikaflebologii.pl/choroby/niewydolnosc-zylna-miednicy-u-kobiet/zylaki-okolic-intymnych/zylaki-sromu/

Dodaj komentarz

Twój adres e-mail nie zostanie opublikowany. Wymagane pola są oznaczone *